Исмаилов Руслан Ираддимович

О враче

Опыт работы: с 2023 года

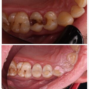
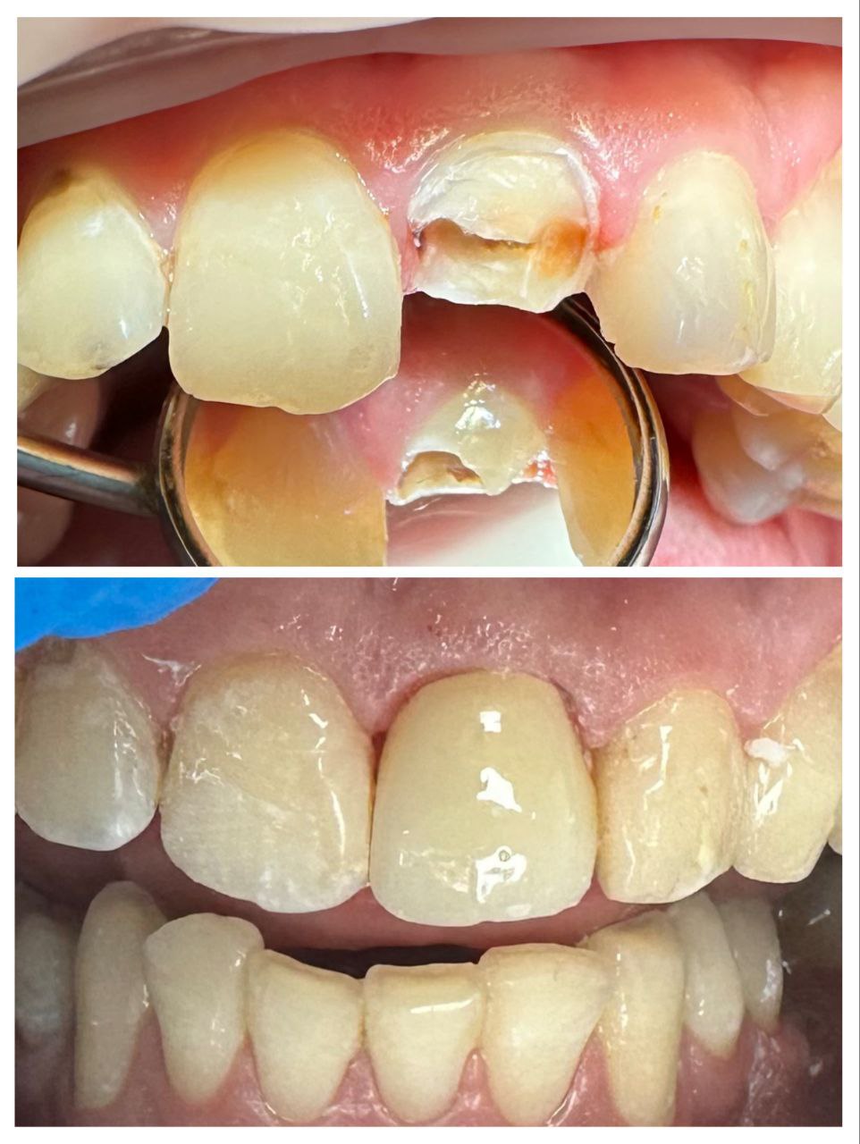
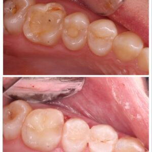
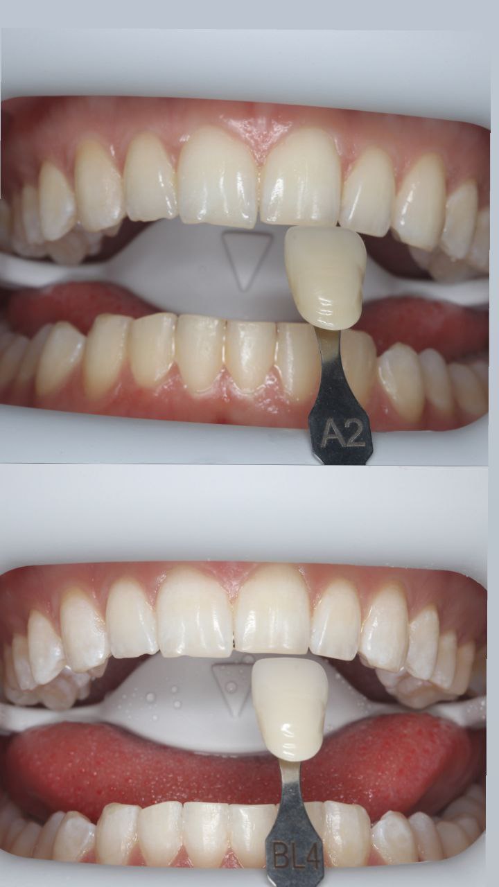
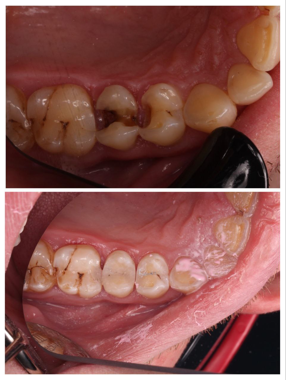
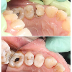
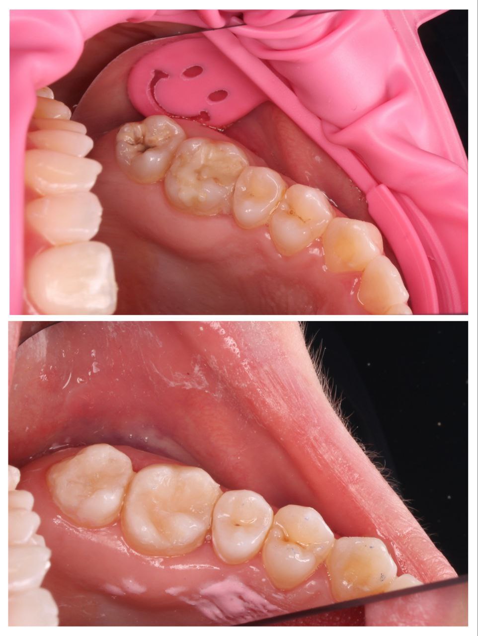
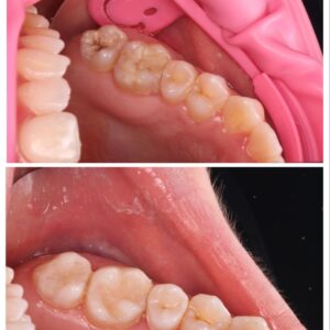
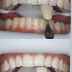
Фото работ

est_logo

Эстеллика – это современная стоматологическая клиника с индивидуальным подходом к лечению зубных заболеваний.

Имеются противопоказания. Проконсультируйтесь со специалистом

Написать руководителю

Оставить отзыв

Запишитесь на консультацию бесплатно!

Заполните форму, и мы перезвоним

У Вас остались вопросы?

Хотите, перезвоним вам?

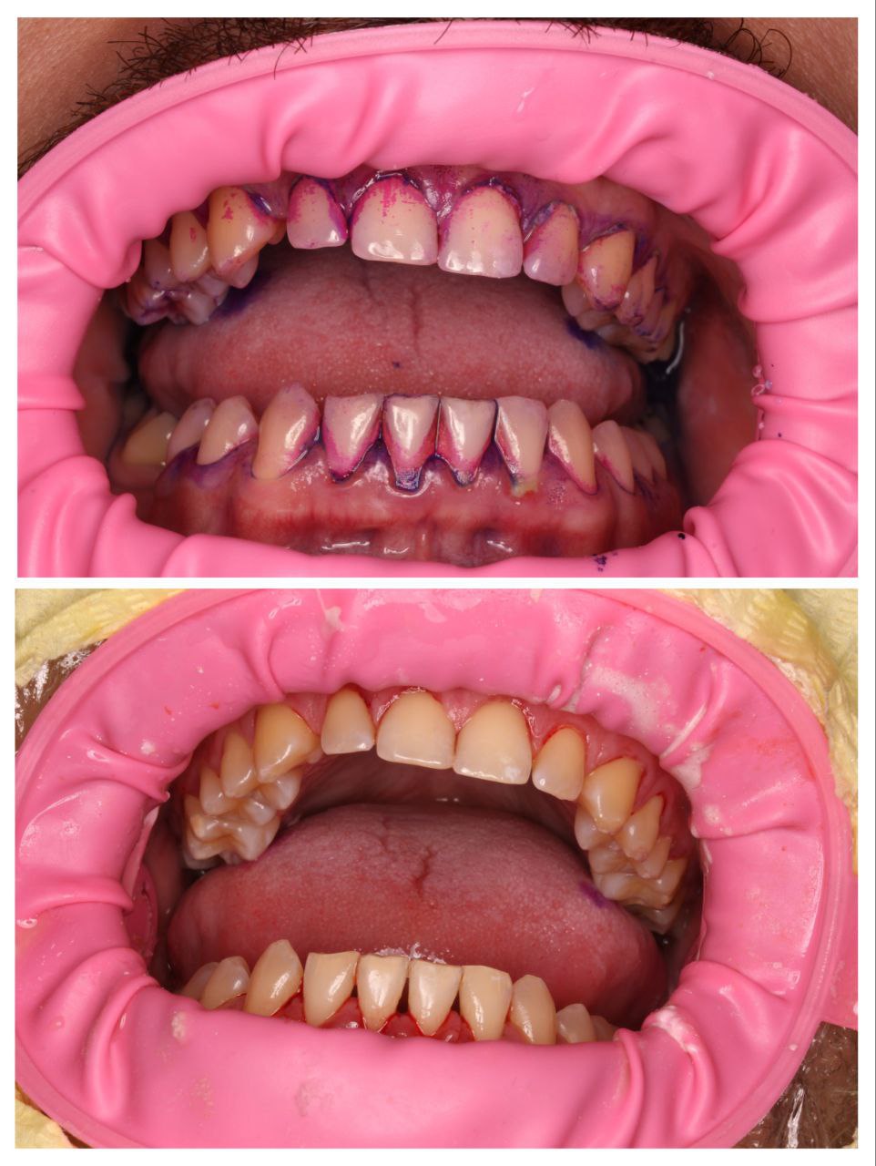
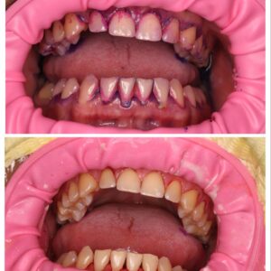
Фото работ по ортодонтии

Как работает система персонального сопровождения?

Шаг 1: Знакомство и диагностика

После консультации с врачом и составления плана лечения, к вам прикрепляется персональный координатор. Он детально разберется в вашей ситуации и пожеланиях.​

Шаг 2: Составление индивидуального графика

Координатор составит для вас персональный календарь лечения с датами визитов ко всем специалистам (ортодонту, хирургу, терапевту и др.).

Шаг 3: Оперативная связь и поддержка 24/7​

Вы всегда можете задать вопрос координатору по телефону или в мессенджере. Ни один ваш вопрос не останется без ответа.

Шаг 4: Сопровождение на всех этапах​

Координатор встретит вас в клинике, проводит к врачу, уточнит ваше самочувствие после приема и напомнит о следующем визите.

Запишитесь на консультацию бесплатно!

Консультация анестезиолога — бесплатно при заключении договора на лечение

Наркозный аппарат Mindray WATO EX-35: безопасность и комфорт​

  • Подходит для взрослых, детей и новорождённых. Проводит безопасную анестезию для пациентов всех возрастов, начиная с малых дыхательных объемов. Это делает его идеальным решением для семейных стоматологических клиник, где лечение проходит вся семья.
  • Высокая точность динамической компенсации свежего газа. Технология динамической компенсации свежего газа гарантирует точную подачу дыхательной смеси, что критически важно для безопасности детей и ослабленных пациентов.
  • Гибкость и надежность в работе. WATO EX-35 поддерживает широкий спектр режимов вентиляции легких, что позволяет анестезиологу подобрать оптимальную стратегию ИВЛ для любого клинического случая в стоматологии.
  • Простое управление.Интуитивный 10,4-дюймовый сенсорный экран для быстрого контроля и настройки позволяют анестезиологу оперативно настраивать параметры и контролировать состояние пациента.
  • Встроенная система интеллектуальной сигнализации
  • Интеллектуальная система сигнализации и автоматическое переключение газа для защиты пациента

Аппарат для седации закисью азота Matrx MDM

  • Точный контроль дозировки:Аппарат позволяет врачу с ювелирной точностью устанавливать и плавно регулировать концентрацию седативного газа, обеспечивая индивидуальный подход для каждого пациента.
  • Приоритет безопасности:Система спроектирована так, что концентрация кислорода в смеси никогда не опускается ниже безопасного уровня. Это исключает любые риски для вашего здоровья.
  • Быстрое действие:Эффект наступает уже через 3-5 минут после начала ингаляции, а после процедуры так же быстро проходит. Через 10-15 минут вы сможете самостоятельно покинуть клинику и вернуться к привычным делам.

Показания к седации Matrx MDM:

  • Стоматологическая тревожность и дентофобия.
  • Повышенный рвотный рефлекс.
  • Длительные и сложные процедуры.
  • Лечение зубов у детей.
  • Необходимость полного расслабления для комфортного лечения.

Седация с Matrx MDM — это современный ответ страху перед стоматологом. Лечение может быть приятным!

Что такое седация Matrx MDM?

Это не наркоз, а мягкая и управляемая седация с помощью специальной газовой смеси (закись азота + кислород). Вы вдыхаете ее через удобную маску, сохраняя полное сознание и способность общаться с врачом. При этом чувство тревоги и страха исчезает, возникает состояние легкой расслабленности и эйфории.

Отдельная палата пробуждения

Лечение завершено, и ваше спокойствие и комфорт по-прежнему остаются нашим главным приоритетом. После сложных процедур, проведенных под седацией или наркозом, мы предлагаем вам уникальную для стоматологии опцию — отдельную палату пробуждения.

Здесь, в тихой и уютной обстановке, вы сможете плавно и комфортно вернуться в привычное состояние. Вас не разбудят резко и не отведут в кресло в зале ожидания. Вместо этого вы постепенно придете в себя на удобной кушетке, в атмосфере полного покоя.

Почему это важно?

  • Плавное восстановление:Мягкий выход из медикаментозного сна без стресса и дискомфорта для нервной системы.
  • Безопасность под контролем:Рядом с вами находится опытная медсестра, которая внимательно следит за вашим состоянием и готова помочь в любой момент.
  • Полная конфиденциальность и покой:Вы находитесь в изолированном пространстве, вдали от суеты, шума и других пациентов.
  • Уважение к вашему состоянию:Мы даем вам время и возможность прийти в себя, прежде чем вы отправитесь домой.

Сертифицированные препараты

Безопасность на уровне мировых стандартов

Мы понимаем, как важна безопасность, особенно когда речь идет о здоровье ребенка. Поэтому для анестезии мы используем только сертифицированные препараты последнего поколения.

Наш подход:

  • Современные анестетики:Препараты короткого действия, которые обеспечивают быстрое начало сна и такое же быстрое, комфортное пробуждение без побочных эффектов.
  • «Золотой стандарт» для детей:В нашей практике мы применяем Севоран — самый безопасный и предсказуемый ингаляционный анестетик в мировой детской стоматологии. Он гипоаллергенен, не раздражает дыхательные пути и обеспечивает идеальную управляемость наркозом.
  • Полный контроль:Врач-анестезиолог имеет возможность точно дозировать препарат и моментально реагировать на любые изменения состояния пациента.

Ваше спокойствие — в деталях. Мы используем лучшее, чтобы лечение было максимально безопасным.

В клинике ESTELLIKA лечение во сне не только эффективное, но и абсолютно безопасное. Мы гарантируем это, используя в работе только современные анестетики короткого действия.

Почему это важно?

  • Быстро и комфортно:Короткое действие означает быстрое засыпание и легкое пробуждение после процедуры.
  • Предсказуемость:Врач точно знает, как поведет себя препарат, что позволяет идеально контролировать глубину и время сна.
  • Пример — Севоран:Мы выбрали для детской анестезии именно этот препарат, так как он признан «золотым стандартом» во всем мире благодаря своему профилю безопасности и минимальному воздействию на организм.

Доверяя нам, вы можете быть уверены: для вашего здоровья мы выбрали самое лучшее.