Находимся рядом с метро Люблино

Ортодонт в стоматологической клинике Estellika

Ортодонтическая стоматология в Люблино

Ортодонтическая стоматология (исправление прикуса зубов).

Квалифицированная команда стоматологов-ортодонтов поможет Вам решить проблемы с кривизной зубов, болью в деснах.

Ортодонт рядом с м. Люблино и Братиславская.

Ортодонтическая стоматология в Люблино

Услуги ортодонтического лечения

Исправление прикуса зубов

Ортодонтическое исправление прикуса зубов при помощи различных методов и систем. Опытные врачи-ортодонты в нашей клинике способны устранить кривизну зубов даже в самых запущенных стадиях.

Элайнеры и каппы

Элайнеры и каппы подходят как для выравнивания прикуса, так и для поддержания зубов в правильном положении после длительного ортодонтического лечения при помощи различных брекет-систем.

Брекет-системы

Установка брекетов для выравнивания прикуса. У нас есть брекеты для взрослых и детей. Работаем с керамическими брекетами, лингвальными (невидимыми) брекетами и классическими брекетами из металла.

Зубные ретейнеры

Зубные ретейнеры, как и элайнеры, способствуют фиксации зубов в определенном положении после ортодонтической коррекции прикуса. Этот метод фиксации необходим, когда брекеты только сняли.

Ортодонтия (исправление прикуса зубов) рядом с метро Люблино, Братиславская

Некоторые пациенты переживают детство без хорошей стоматологической помощи и не имеют возможности получить брекеты. Это означает, что у них остаются скученные зубы и неидеальные прикусы, которые со временем ухудшаются. Это проблемы, которые приводят к заболеванию десен, кариесу и потере зубов. В некоторых случаях давление неправильного прикуса может привести к боли в суставах челюсти.

В стоматологической клинике Estellika – Люблино мы предлагаем удобные ортодонтические услуги для взрослых и детей. Мы используем современные брекеты различных видов, в том числе и прозрачные брекеты, нося которые пациенты не получают эстетическое раздражение.

К счастью, сегодня люди лучше заботятся о своих зубах, поскольку при правильном лечении они могут прослужить всю жизнь. Если вы стремитесь улучшить свою улыбку, то ортодонтия – один из способов сделать это.

Камилова Сабина Османовна

Почему выбирают нашу ортодонтическую стоматологию

Если пациенты беспокоятся о своих зубах, наш ортодонт расскажет им о возможных вариантах стоматологической коррекции.

Вот некоторые из наиболее часто исправляемых проблем:

  • Скученность зубов;
  • Зубы, которые не подходят друг к другу естественным образом;
  • Боль в челюсти, вызванная давлением кривых или скученных зубов;
  • Проблемы с деснами, вызванные смещением зубов.

Взрослые выбирают ортодонтическое лечение по многим причинам, в том числе и по эстетическим.

Независимо от того, нужно ли им завершить работу, которая не была завершена в подростковом возрасте, или они впервые начинают ортодонтическое лечение, взрослые выбирают брекеты для:

  • Улучшения внешнего вида зубов;
  • Поддержки лучшего здоровья полости рта;
  • Повышения уверенности в себе;
  • Профилактики развития серьезных стоматологических проблем.

Исправление прикуса в нашей клинике

Цены на элайнеры:

Лечение зубов во сне в Люблино

Лечение зубов во сне – быстро, без боли и воспоминаний! Только в клинике Estellika в Люблино!

✓ Мы работаем на современном и высоконадежном оборудовании, что гарантирует вам максимальный комфорт и безопасность во время лечения.

✓ Лечение проходит под внимательным наблюдением анестезиолога, врача высшей категории со стажем более 25 лет.

✓ Мы используем ингаляционный раствор СЕВОРАН — признанный во всем мире безопасный и качественный препарат. Его также используют для людей с аутичными расстройствами, задержкой психо-речевого развития и сердечно-сосудистыми заболеваниями.

Исправление прикуса (ортодонтия): стоимость

Цены на брекеты и съемные аппараты:

  • Ортодонтическая коррекция с применением элайнеров. Снятие аттачментов с одной челюсти

    7 000 ₽

  • Снятие одного брекета/кнопки/кольца

    1 500 ₽

  • Исследование на диагностических моделях челюстей. Комплексная диагностика (слепки, расчет моделей, расчет ТРГ, фотодиагностика, составление плана)

    10 000 ₽

  • Диагностический этап – Расчет ТРГ

    500 ₽

  • Прием (осмотр, консультация) врача-ортодонта

    1 000 ₽

  • Установка кольца с распоркой

    2 500 ₽

  • Ортодонтическая коррекция с применением элайнеров Flexiligner. Первый этап

    180 000 ₽

  • Ортодонтическая коррекция с применением элайнеров Flexiligner. Второй этап (1 степень сложности)

    170 000 ₽

  • Прием врача-ортодонта повторный (на этапах ортодонтического лечения с помощью элайнеров)

    5 000 ₽

  • ЛМ- активатор

    17 800 ₽

  • Ортодонтическое лечение с применением комбинированной самолигирующей брекет-системы (H4)

    70 000 ₽

  • По акции! Ортодонтическое лечение с применением керамической самолигирующей брекет-системы с металлической крышкой (H4)

    80 000 ₽

  • Снятие несъемных ортодонтических аппаратов (Haas,Marco Rossa)

    3 000 ₽

  • Фиксация ретейнера после снятия частичной брекет системы ( 1 челюсть)

    6 000 ₽

  • Снятие ретейнера 1 челюсть

    2 000 ₽

  • Приклейка нового металлического самолигируещего брекета

    2 500 ₽

  • Приклейка нового керамического самолигирующего брекета

    2 500 ₽

  • Приклейка нового керамического классического брекета

    1 716 ₽

  • Ортодонтическая коррекция с применением брекет-систем. Фиксация частичной саморегулирующиеся брекет-системы Damon Q I этап

    31 400 ₽

  • Фиксация лингвальной кнопки, петли, ушка, накусочного брекета, накусочного брекета от вредных привычек

    2 700 ₽

  • Ортодонтическая коррекция с применением брекет-систем. Фиксация частичной саморегулирующиеся брекет-системы Damon Clear I этап

    41 400 ₽

  • Ортодонтическая коррекция с применением брекет-систем. Фиксация частичной саморегулирующиеся брекет-системы Damon Q, Damon Clear комбинированная II этап

    25 400 ₽

  • Ортодонтическая коррекция с применением брекет-систем. Фиксация частичной саморегулирующиеся брекет-системы Damon Clear II этап

    35 600 ₽

  • Ортодонтическая коррекция с применением брекет-систем. Снятие брекетов с одной челюсти

    6 000 ₽

  • Ремонт ортодонтического аппарата Починка одного соединения несъемного ретейнера

    1 490 ₽

  • Плановое посещение ортодонта при лечении на несъёмной технике (замена дуг и лигатур)

    7 500 ₽

  • Ортодонтический воск (1 уп)

    250 ₽

  • Смена дуги нитилоновой (1 шт)

    1 040 ₽

  • Смена эластической цепочки

    800 ₽

  • Meжчелюстные тяги

    447 ₽

  • Установка композит окклюзионных накладок

    1 950 ₽

  • Переклейка, подклейка вестибулярного брекета

    2 000 ₽

  • Ортодонтическая коррекция с применением саморегулирующиеся брекет-системы H4 (1 челюсть)

    50 000 ₽

  • Ортодонтическая коррекция с применением брекет – системы. Установка брекет-системы на одну челюсть (без учета стоимости системы)

    20 000 ₽

  • Ортодонтическая коррекция с применением брекет-систем. Установка несъёмного ретейнера клык-клык на одну челюсть

    6 000 ₽

  • Ортодонтическая коррекция с применением керамической самолигирующей брекет-системы Damon Clear 1 челюсть

    70 000 ₽

  • Снятие оттиска с одной челюсти – силиконовый “С”

    2 400 ₽

  • Ортодонтическая коррекция съемным ортодонтическим аппаратом Твинблок

    35 000 ₽

  • Ортодонтическая коррекция съемным ортодонтическим аппаратом Ортодонтический 1-челюстной аппарат

    20 000 ₽

  • Сплинт-терапия

    34 900 ₽

  • Ортодонтическая коррекция съемным ортодонтическим аппаратом. Лицевая дуга ортодонтическая

    4 139 ₽

  • Ортодонтическая коррекция съемным ортодонтическим аппаратом. Лицевая маска

    19 500 ₽

  • Ортодонтическая коррекция съемным ортодонтическим аппаратом. Винт трехмерный Бертони

    4 763 ₽

  • Ортодонтическая коррекция съемным ортодонтическим аппаратом. Аппарат Френкеля

    17 659 ₽

  • Ортодонтическая коррекция съемным ортодонтическим аппаратом. Ретейнер капа

    6 000 ₽

  • Коррекция ортодонтического аппарата, активация, наблюдение

    1 000 ₽

  • Ремонт ортодонтического аппарата

    4 500 ₽

  • Ортодонтическая коррекция несъемным ортодонтическим аппаратом Haas

    42 000 ₽

  • Посещение ортодонта частичной брекет системой (1 челюсть)

    2 000 ₽

  • Ортодонтическая коррекция с применением металличекой самолигирующей брекет-системы Damon Q (1 челюст

    60 000 ₽

  • Ортодонтическая коррекция с применением комбинированной саморегулирующиеся брекет-системы Damon Q+ Damon Clear 1 челюсть

    70 000 ₽

  • Снятие оттиска с одной челюсти альгинатного

    1 400 ₽

Обратите внимание: Цены, указанные на сайте, носят ознакомительный характер и могут отличаться от фактической стоимости услуг. Окончательная цена определяется после консультации с врачом и зависит от индивидуальных особенностей пациента, сложности случая и выбранного плана лечения. Для уточнения стоимости услуг, пожалуйста, свяжитесь с нами или запишитесь на консультацию.

Показать все цены

Обратите внимание: Цены, указанные на сайте, носят ознакомительный характер и могут отличаться от фактической стоимости услуг. Окончательная цена определяется после консультации с врачом и зависит от индивидуальных особенностей пациента, сложности случая и выбранного плана лечения. Для уточнения стоимости услуг, пожалуйста, свяжитесь с нами или запишитесь на консультацию.

Показать все цены

Выгода в нашем Telegram

Подписывайтесь на аккаунт @estellika_ru. Участвуйте в наших розыгрышах и получайте персональные бонусы на услуги стоматологической клиники Estellika!

Отзывы о нас

Для записи на приём, заполните форму на сайте, или позвоните нам по телефону +7 (495) 032-74-38
est_logo

Эстеллика – это современная стоматологическая клиника с индивидуальным подходом к лечению зубных заболеваний.

Имеются противопоказания. Проконсультируйтесь со специалистом

Написать руководителю

Оставить отзыв

Запишитесь на консультацию бесплатно!

Заполните форму, и мы перезвоним

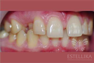
Доктор: Тарасова Наталья Станиславовна​

Жалобы пациента: Неудовлетворенность эстетикой улыбки

Решение: Исправление прикуса на элайнерах

До лечения

После лечения

У Вас остались вопросы?

Хотите, перезвоним вам?

Фото работ по ортодонтии

Как работает система персонального сопровождения?

Шаг 1: Знакомство и диагностика

После консультации с врачом и составления плана лечения, к вам прикрепляется персональный координатор. Он детально разберется в вашей ситуации и пожеланиях.​

Шаг 2: Составление индивидуального графика

Координатор составит для вас персональный календарь лечения с датами визитов ко всем специалистам (ортодонту, хирургу, терапевту и др.).

Шаг 3: Оперативная связь и поддержка 24/7​

Вы всегда можете задать вопрос координатору по телефону или в мессенджере. Ни один ваш вопрос не останется без ответа.

Шаг 4: Сопровождение на всех этапах​

Координатор встретит вас в клинике, проводит к врачу, уточнит ваше самочувствие после приема и напомнит о следующем визите.

Запишитесь на консультацию бесплатно!

Консультация анестезиолога — бесплатно при заключении договора на лечение

Наркозный аппарат Mindray WATO EX-35: безопасность и комфорт​

  • Подходит для взрослых, детей и новорождённых. Проводит безопасную анестезию для пациентов всех возрастов, начиная с малых дыхательных объемов. Это делает его идеальным решением для семейных стоматологических клиник, где лечение проходит вся семья.
  • Высокая точность динамической компенсации свежего газа. Технология динамической компенсации свежего газа гарантирует точную подачу дыхательной смеси, что критически важно для безопасности детей и ослабленных пациентов.
  • Гибкость и надежность в работе. WATO EX-35 поддерживает широкий спектр режимов вентиляции легких, что позволяет анестезиологу подобрать оптимальную стратегию ИВЛ для любого клинического случая в стоматологии.
  • Простое управление.Интуитивный 10,4-дюймовый сенсорный экран для быстрого контроля и настройки позволяют анестезиологу оперативно настраивать параметры и контролировать состояние пациента.
  • Встроенная система интеллектуальной сигнализации
  • Интеллектуальная система сигнализации и автоматическое переключение газа для защиты пациента

Аппарат для седации закисью азота Matrx MDM

  • Точный контроль дозировки:Аппарат позволяет врачу с ювелирной точностью устанавливать и плавно регулировать концентрацию седативного газа, обеспечивая индивидуальный подход для каждого пациента.
  • Приоритет безопасности:Система спроектирована так, что концентрация кислорода в смеси никогда не опускается ниже безопасного уровня. Это исключает любые риски для вашего здоровья.
  • Быстрое действие:Эффект наступает уже через 3-5 минут после начала ингаляции, а после процедуры так же быстро проходит. Через 10-15 минут вы сможете самостоятельно покинуть клинику и вернуться к привычным делам.

Показания к седации Matrx MDM:

  • Стоматологическая тревожность и дентофобия.
  • Повышенный рвотный рефлекс.
  • Длительные и сложные процедуры.
  • Лечение зубов у детей.
  • Необходимость полного расслабления для комфортного лечения.

Седация с Matrx MDM — это современный ответ страху перед стоматологом. Лечение может быть приятным!

Что такое седация Matrx MDM?

Это не наркоз, а мягкая и управляемая седация с помощью специальной газовой смеси (закись азота + кислород). Вы вдыхаете ее через удобную маску, сохраняя полное сознание и способность общаться с врачом. При этом чувство тревоги и страха исчезает, возникает состояние легкой расслабленности и эйфории.

Отдельная палата пробуждения

Лечение завершено, и ваше спокойствие и комфорт по-прежнему остаются нашим главным приоритетом. После сложных процедур, проведенных под седацией или наркозом, мы предлагаем вам уникальную для стоматологии опцию — отдельную палату пробуждения.

Здесь, в тихой и уютной обстановке, вы сможете плавно и комфортно вернуться в привычное состояние. Вас не разбудят резко и не отведут в кресло в зале ожидания. Вместо этого вы постепенно придете в себя на удобной кушетке, в атмосфере полного покоя.

Почему это важно?

  • Плавное восстановление:Мягкий выход из медикаментозного сна без стресса и дискомфорта для нервной системы.
  • Безопасность под контролем:Рядом с вами находится опытная медсестра, которая внимательно следит за вашим состоянием и готова помочь в любой момент.
  • Полная конфиденциальность и покой:Вы находитесь в изолированном пространстве, вдали от суеты, шума и других пациентов.
  • Уважение к вашему состоянию:Мы даем вам время и возможность прийти в себя, прежде чем вы отправитесь домой.

Сертифицированные препараты

Безопасность на уровне мировых стандартов

Мы понимаем, как важна безопасность, особенно когда речь идет о здоровье ребенка. Поэтому для анестезии мы используем только сертифицированные препараты последнего поколения.

Наш подход:

  • Современные анестетики:Препараты короткого действия, которые обеспечивают быстрое начало сна и такое же быстрое, комфортное пробуждение без побочных эффектов.
  • «Золотой стандарт» для детей:В нашей практике мы применяем Севоран — самый безопасный и предсказуемый ингаляционный анестетик в мировой детской стоматологии. Он гипоаллергенен, не раздражает дыхательные пути и обеспечивает идеальную управляемость наркозом.
  • Полный контроль:Врач-анестезиолог имеет возможность точно дозировать препарат и моментально реагировать на любые изменения состояния пациента.

Ваше спокойствие — в деталях. Мы используем лучшее, чтобы лечение было максимально безопасным.

В клинике ESTELLIKA лечение во сне не только эффективное, но и абсолютно безопасное. Мы гарантируем это, используя в работе только современные анестетики короткого действия.

Почему это важно?

  • Быстро и комфортно:Короткое действие означает быстрое засыпание и легкое пробуждение после процедуры.
  • Предсказуемость:Врач точно знает, как поведет себя препарат, что позволяет идеально контролировать глубину и время сна.
  • Пример — Севоран:Мы выбрали для детской анестезии именно этот препарат, так как он признан «золотым стандартом» во всем мире благодаря своему профилю безопасности и минимальному воздействию на организм.

Доверяя нам, вы можете быть уверены: для вашего здоровья мы выбрали самое лучшее.